Chế độ ăn kiêng ketogenic, nổi bật với các món ăn như bánh mì bơ và mì zucchini được chiên với sốt bacon đều đã trở thành một trào lưu phổ biến trên mạng xã hội. Mặc dù được biết đến với khả năng hỗ trợ kiểm soát cân nặng và giảm cân, những nghiên cứu mới đây đã cảnh báo rằng chế độ ăn này có thể gây ra các vấn đề chuyển hóa nghiêm trọng, bao gồm tình trạng không dung nạp glucose.
Nghiên cứu từ Đại học Utah

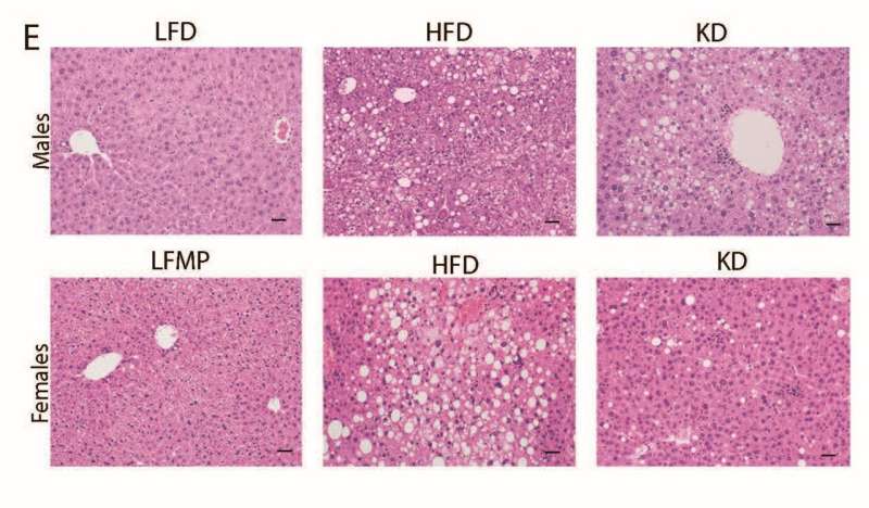
Một nghiên cứu khoa học quan trọng được thực hiện bởi các nhà nghiên cứu tại Đại học Utah và Trung tâm Nghiên cứu Đái tháo đường và Chuyển hóa Utah đã phân chia chuột thành bốn nhóm chế độ ăn khác nhau: chế độ ăn ketogenic (KD) chứa 90% chất béo, chế độ ăn giàu chất béo (HFD) với 60% chất béo, chế độ ăn ít béo (LFD) và chế độ ăn ít béo kết hợp protein vừa phải (LFMP), với các mức carbohydrate và protein khác nhau.
Các con chuột được phép ăn tự do trong khoảng thời gian lên đến 36 tuần đối với chuột đực và 44 tuần đối với chuột cái. Kết quả nghiên cứu cho thấy chế độ ăn KD có khả năng hỗ trợ kiểm soát cân nặng nhưng lại làm tăng mức cholesterol trong máu và dẫn đến bệnh gan nhiễm mỡ ở chuột đực. Kết quả này đã được công bố trên tạp chí Science Advances.
Cơ chế hoạt động của chế độ ăn ketogenic

Chế độ ăn ketogenic tác động đến cơ thể bằng cách đưa nó vào trạng thái xeton, nơi mà mỡ trở thành nguồn năng lượng chính thay vì carbohydrates. Kết quả là, cơ thể sản xuất các phân tử gọi là thể ceton. Mặc dù chế độ ăn này không mới, được áp dụng từ gần 100 năm nay để điều trị chứng động kinh kháng thuốc ở trẻ em, cơ chế chính xác mà KD giúp kiểm soát cơn động kinh vẫn chưa được làm rõ hoàn toàn.
Một số nghiên cứu đã chỉ ra rằng KD có thể ổn định mức glucose trong máu, điều này có lợi cho chuyển hóa não và hoạt động của các chất dẫn truyền thần kinh. Ngược lại, một số nghiên cứu khác nhấn mạnh tác động chống co giật của chính các thể ceton.
Tác động lâu dài của chế độ ăn ketogenic
Với sự gia tăng nhanh chóng trong sự phổ biến của chế độ ăn ketogenic trong những năm gần đây, các nhà nghiên cứu muốn khám phá các tác động chuyển hóa lâu dài khi theo đuổi chế độ ăn này. Các nghiên cứu trước đó thường báo cáo kết quả trái ngược hoặc không so sánh trực tiếp KD với những chế độ ăn khác, và không tính đến cả hai giới tính.
Để khắc phục vấn đề này, nghiên cứu hiện tại đã chọn cả chuột đực và cái và thực hiện các cuộc kiểm tra thường xuyên để đánh giá các tác động lâu dài của KD lên các thông số sức khỏe như tỷ lệ cơ thể, sức khỏe cơ quan và hồ sơ máu. Kết quả cho thấy mặc dù KD giúp bảo vệ khỏi tăng cân quá mức so với chế độ ăn giàu chất béo thông thường, nhưng nhóm chuột ăn KD vẫn tăng cân nhiều hơn so với nhóm ăn ít béo.
Tuy nhiên, chế độ ăn KD dẫn đến tình trạng rối loạn lipid máu nghiêm trọng, với mức chất béo trong máu cao. Chuột ăn KD cũng phát triển chứng không dung nạp glucose nặng nề vì chế độ này đã gây ra sự suy giảm nghiêm trọng trong việc tiết insulin từ tuyến tụy. Trong khi chuột cái ăn KD có vẻ tốt, thì chuột đực lại xuất hiện những dấu hiệu về rối loạn chức năng gan và bệnh gan nhiễm mỡ.
Kết luận từ nghiên cứu
Các phát hiện từ nghiên cứu này cho thấy rõ rằng chế độ ăn ketogenic kéo dài có thể kích hoạt một loạt các rối loạn chuyển hóa, cần phải đề phòng với việc sử dụng chế độ này như một chế độ ăn uống tốt cho sức khỏe. Các nhà nghiên cứu nhấn mạnh rằng cần có thêm các nghiên cứu để khám phá cách mà sự khác biệt về thành phần chất béo và tỷ lệ macronutrient ảnh hưởng đến các tác động chuyển hóa. Điều này đặc biệt quan trọng để làm cho chế độ ăn ketogenic an toàn hơn cho những người dựa vào nó để điều trị chứng động kinh.
Tóm lại, nghiên cứu này đã chỉ ra những nguy cơ liên quan đến việc áp dụng chế độ ăn ketogenic lâu dài, từ đó mở ra hướng đi mới cho nghiên cứu bổ sung nhằm đảm bảo sự an toàn cho sức khỏe của người dùng.
Viết và biên tập bởi Fujiwa.Net – Chuyên mục Giảm cân, sức khỏe, bí quyết sống thọ – tất cả trong một

